Avocat pour accident de la route à Brignoles

Indemnisation entorse cervicale suite à accident de la route Toulon et Var 83

Contactez-nous
Les champs indiqués par un astérisque (*) sont obligatoires
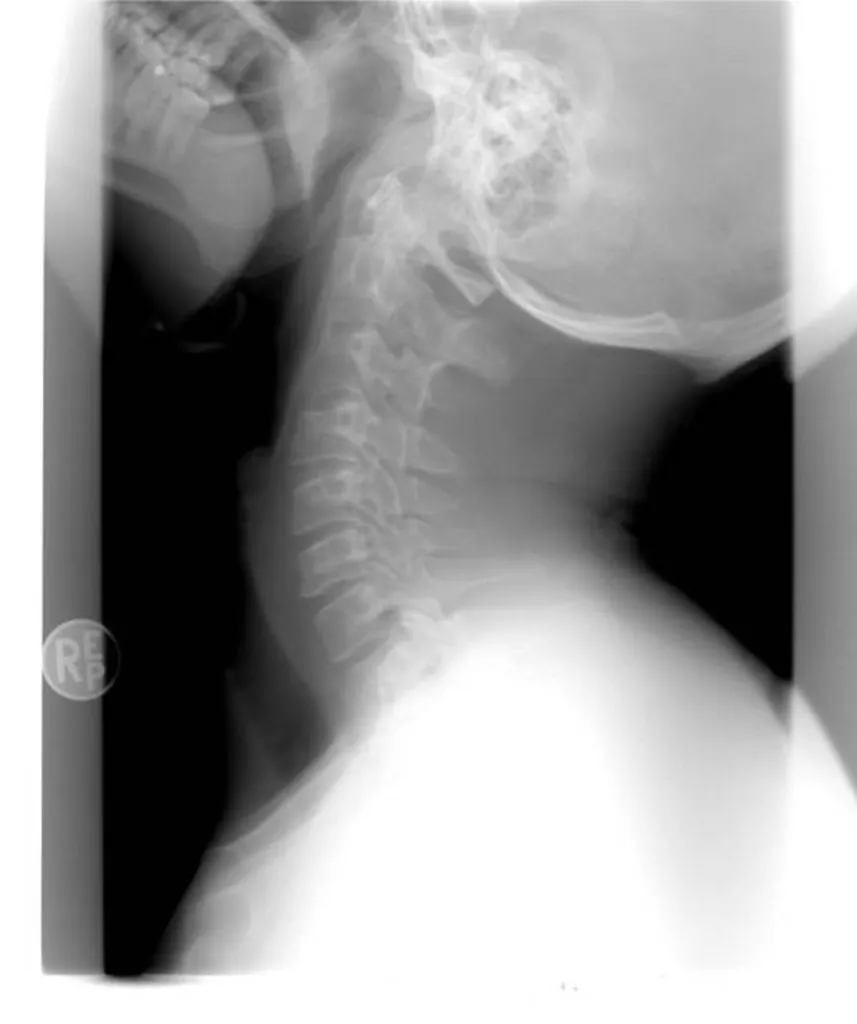
Montant indemnisation d’une entorse cervicale subie lors d’un accident de la route en voiture par le tribunal judiciaire de Digne les Bains 04000

Montant indemnisation d’une entorse cervicale subie lors d’un accident de la route en voiture par le tribunal judiciaire de Digne les Bains 04000

La victime d’une entorse cervicale suite à un accident de la route en voiture dans le département 04 a droit à la réparation totale de son dommage corporel.  Notre cabinet d’avocat intervient d’abord dans ce cas pour faire reconnaître le droit à indemnisation de la victime d’un accident de la ci...
En savoir plus
Avocat pour l'indemnisation de dommage corporel du conducteur victime d'accident de la route ayant subi un

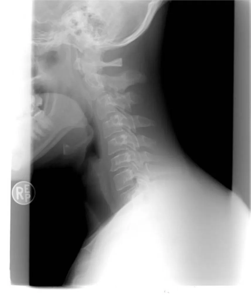
Avocat pour l'indemnisation de dommage corporel du conducteur victime d'accident de la route ayant subi un "coup du lapin" ou entorse cervicale lors d'un choc arrière à Marseille

  Le conducteur victime d'un accident de la route ayant subi un  "coup du lapin" ou entorse cervicale lors d'un choc arrière à Marseille a droit à l'indemnisation de son dommage corporel sur le fondement de la loi du 5 juillet 1985. L'assistance par un avocat est toutefois nécessaire pour être bi...
En savoir plus
Cabinet d'avocat pour indemnisation d'une entorse cervicale lors d'un accident de la route à Aix en Provence

Entorse cervicale subie lors d’un accident de la route l’indemnisation obtenue par notre cabinet d’avocat devant le tribunal judiciaire d’Aix-en-Provence

La victime d’une entorse cervicale suite à un accident de la route à Aix-en-Provence a droit à la réparation intégrale de son préjudice corporel.  Notre cabinet d’avocats intervient d’abord dans ce cas pour faire reconnaître le droit à indemnisation de la victime d’un accident de la circulation et...
En savoir plus

Maître Laurent JULLIEN intervient en tant qu'avocat pour les victimes d'agressions à Toulon et Var 83 afin de permettre aux personnes ayant subi des dommages corporels de recevoir des indemnités à la hauteur de la violence de l'agression.

Votre avocat est là pour vous aider à obtenir des indemnités à la hauteur des dommages subis lors d'un accident de la route. Vous avec besoin de la défense de conducteur victime d'accident de la route à Toulon et Var 83 ? Faîtes appel à ce cabinet d'avocat qui saura assurer votre défense au barreau pour déterminer la cause de l'accident.

Contactez le cabinet pour votre besoin suivant : Indemnisation entorse cervicale suite à accident de la route Toulon et Var 83. Découvrez ses honoraires et comment il pourra vous aider à obtenir des dédommagements à la hauteur.