1. Avocat Laurent Jullien
  2. Actualités
  3. 15 037 € de dommages intérêts alloués à une victime d’accident de la route conducteur de voiture, ayant subi une entorse cervicale à Marseille.
Retour

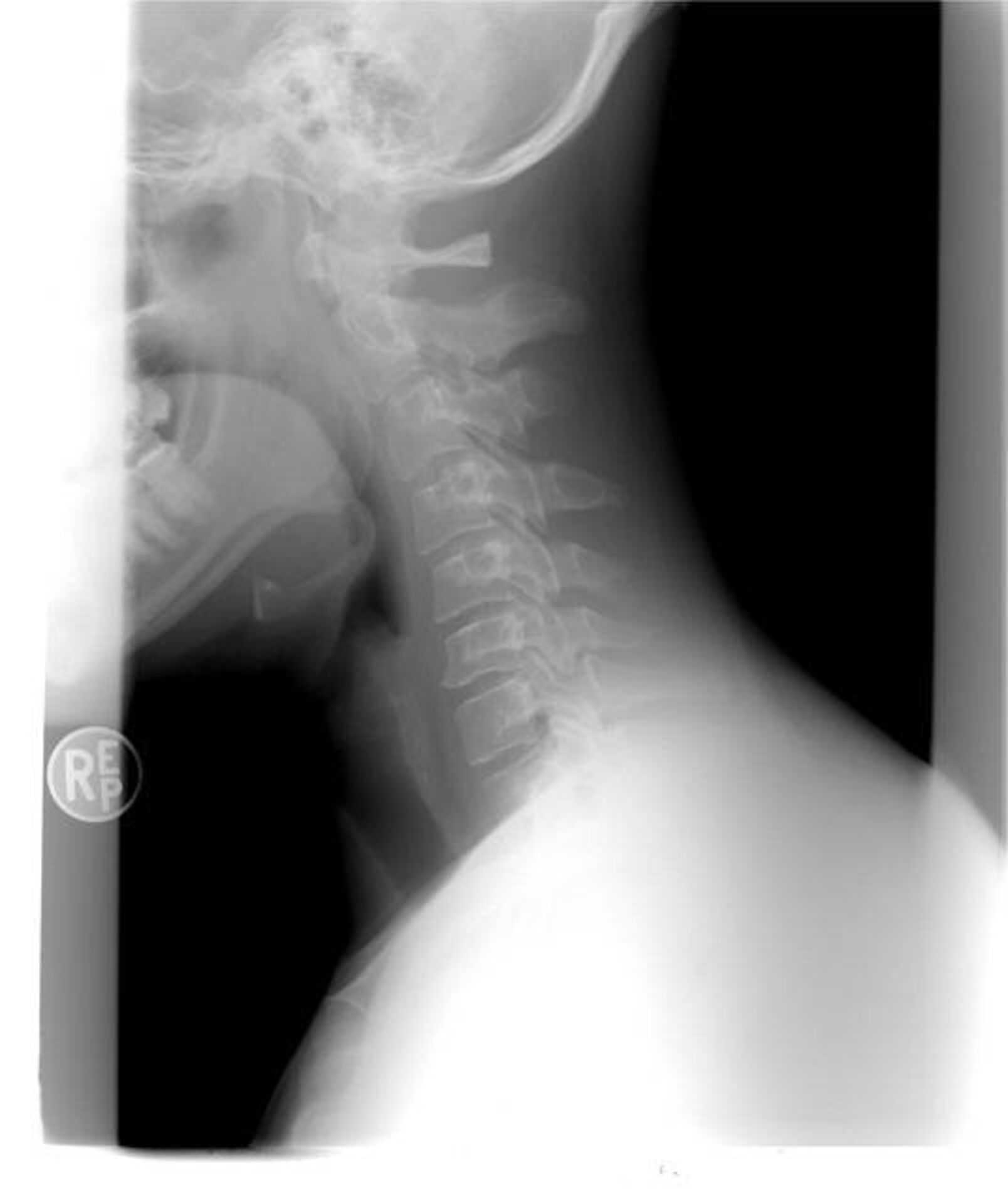
15 037 € de dommages intérêts alloués à une victime d’accident de la route conducteur de voiture, ayant subi une entorse cervicale à Marseille.

Le conducteur de voiture victime d'accident d'accident de la route à Marseille ayant subi une entorse cervicale a droit à l'indemnisation de son dommage corporel, sur le fondement de la loi du 5 juillet 1985, dès lors qu'il n'a pas commis de faute de conduite.

Notre cabinet d’avocat a obtenu récemment la somme de 15 037 € à titre d’indemnisation du dommage corporel d’une victime d’accident de la route à Marseille, ayant subi une entorse cervicale.

L’indemnisation se décomposait de la façon suivante :

  • 1145 € au titre du déficit fonctionnel temporaire

Ce poste de préjudice indemnise la victime d’accident de la circulation ayant subi une entorse cervicale de la gêne dans l’accomplissement des actes de la vie courante durant la période d’incapacité temporaire. Il a été évalué sur une base de 25 € par jour pour une incapacité temporaire totale.

  • 3781 € pour les souffrances endurées à 2,5/7
Les souffrances endurées ou pretium doloris indemnise la victime d'accident de voiture ayant subi une entorse cervicale des douleurs générées par l'accident et surtout des soins nécessaires. Ce poste de préjudice est proportionnel au nombre de séances de kinésithérapie effectuées. Il est conseillé d'en faire au moins 20 et même 30 si possible pour espérer avoir 2,5/7.

  • 8 375 € pour le déficit fonctionnel permanent à 5 %

Ce poste de préjudice indemnise la victime d’accident de la route des séquelles au niveau cervical, ainsi que du choc psychologique, générant une appréhension à la conduite. Il a été évalué sur une base de 1675 € du point, pour une victime âgée de 25 ans au moment de l’accident.

  • 850 € au titre des frais d’avocat

La compagnie d’assurance a accepté de participer aux honoraires d’avocat à hauteur de la somme de 850 € en application de la garantie protection juridique pour transaction aboutie.

  • Le caractère amiable de l'indemnisation

Le dossier a été traité en amiable avec la compagnie d’assurance, ce qui a permis à la victime d’entorse cervicale d’être indemnisée dans un délai de 14 mois.

Consulter nos honoraires d’avocat de victime d’accident de la route ayant subi une entorse cervicale.

Partager :
Nous écrire
Les champs indiqués par un astérisque (*) sont obligatoires
Nos autres compétences
Quelles sont les démarches à réaliser pour être indemnisé de son dommage corporel après un accident de la route à Marseille ?

Quelles sont les démarches réalisées par notre cabinet d'avocat pour permettre à la victime d'accident de la route en voiture à Marseille d'être indemnisée de son dommage corporel?

Plusieurs démarches sont nécessaires pour être indemnisé de son dommage corporel suite à un accident de la route à Marseille, d'abord pour justifier de la réalité de l'accident et des circonstances, ainsi que pour prouver la réalité du préjudice corporel. Notre cabinet d'avocat situé à Marseille v...
En savoir plus
L’indemnisation du traumatisme cervical suite à un accident de la route à Marseille 13006 centre-ville

Le rôle de l'avocat pour l'indemnisation du traumatisme cervical ou coup du lapin du conducteur victime d'accident de la route lors d'un choc arrière en voiture à Marseille.

Le conducteur victime d'un traumatisme cervical ou coup du lapin, faisant suite à un accident de la route, lors d'un choc arrière en voiture à Marseille, a droit à l'indemnisation de son dommage corporel sur le fondement de la loi du 5 juillet 1985. Il est toutefois important que la victime soit a...
En savoir plus
L’évaluation de l'indemnisation des séquelles corporelles de victime d’accident de la route en voiture ou en moto à Marseille 13006

L'indemnisation du déficit fonctionnel permanent de victime d’accident de la route à Marseille

L’indemnisation du déficit fonctionnel permanent de victime d’accident de la route en voiture ou en moto est évaluée selon un pourcentage de 1 à 100 par le Tribunal Judiciaire de Marseille.- Qu'est-ce que le déficit fonctionnel Permanent? Elle dépend du déficit physique ou psychique objectif, des...
En savoir plus